Melodies Trächtigkeit - J-Wurf
_________________________________________
24.01.2021 Melodie bringt vor dem Decken 26,9 kg auf die Waage und hat einen Bauchumfang von 57 cm
1. Tag Die Spermien wandern zu den Eileitern. Bei gesunden Rüden ist das Sperma bis zu sechs Tage im weiblichen Genitale befruchtungsfähig.
2.-4. Tag Befruchtung der Eizellen in der Eileiterampulle.

Melodie fühlt sich sehr wohl wie man unschwer erkennen kann :-)
4.-8. Tag Die Eizelle teilt sich nun täglich im mittleren Eileiterabschnitt. Zweizell-Stadium, Vierzell-Stadium usw. = frühembryonale Teilungsstadien. Die ersten Teilungsstadien sind einen zehntel Millimeter groß.

6 Tage nach dem 1. Date von Higgins - Melodie sucht unsere Nähe noch mehr wie sonst
8.-9. Tag Die Eizellen entwickeln sich zu Blastozysten. Bei der Hündin geht die Läufigkeit normal zu Ende. Die Hündin wird wie stets gefüttert und bewegt, keine Medikamente ohne Tierarzt!

Der 8. Tag der Trächtigkeit - Melodie Perfektioniert den "Schwangerschaftsblick"

Der 9. Tag: Eigentlich hätten wir damit erst viiiel später gerechnet, aber man lernt nie aus. Abgehender Schleim soll ein ziemlich sicheres Zeichen sein, das der Deckakt erfolgreich war, auch wenn es 9 Tage nach dem 1. Decken sichtbar ist. Dennoch sind wir auf den bevorstehenden Ultraschall in gut 2 Wochen gespannt!!! :-D
10.-17. Tag Die sich weiter teilenden Embryonen liegen zunächst für ca. 5 – 7 Tage frei und unregelmäßig in der Gebärmutter. Danach verteilen sie sich gleichmäßig im Gebärmutterhorn.
10.02.2021 Der 17. Tag von Melodies Trächtoigkeit

Der Bauchumfang hat bereits 2 cm zugelegt! Wir warten gespannt auf den Ultraschall nächste Woche der hoffentlich Melodies süßes Geheimnis lüften wird

18.-20. Tag Einnistung der Embryonen in die Gebärmutter, die Ausbildung der Plazenta beginnt. Jeder Embryo hat jetzt seinen festen Platz. Manchen Hündinnen ist um diese Zeit schlecht und sie fressen nicht. In der Regel ist diese Fressunlust nur von kurzer Dauer, sie kann ½ Tag bis zu drei Tagen betragen. Die Hündin ist jetzt sehr anhänglich.
21.-28. Tag Die Ausbildung der Plazenta ist abgeschlossen. Am Ende dieser Embryonalperiode sind beim Hund alle wichtigen Organsysteme angelegt, die endgültige Körperform ist bereits in ihren Grundzügen erkennbar. Man spricht nicht mehr von Embryonen, sondern vom Fetus. Sterben die Fruchtanlagen bis zum 28. Trächtigkeitstag ab, werden sie meist unauffällig resorbiert. Durch Ultraschalluntersuchung kann die Trächtigkeit nachgewiesen werden. Die Hündin kann zähflüssigen klaren bis milchig trüben Schleim absondern, meist ein sicheres Zeichen für eine Trächtigkeit. Die Zitzen bei der Hündin beginnen sich aufzurichten und färben sich rosa. Achtung! Während der Organgenese bis zum 35. Tag sind die Welpen äußerst empfindlich für äußere Einwirkungen wie Medikamente, Impfungen, Röntgenstrahlen, Vitaminmangel und Überversorgung, Überhitzung (z.B. im Auto), Umweltschadstoffe (z.b. Düngemittel in Pfützen) diese sind unter anderem verantwortlich für Fehlbildungen!
18.02.2021 Der 26. Tag der Trächtigkeit
Wir waren uns sooo sicher das unsere hübsche trächtig ist und das wurde uns jetzt auch schwarz auf weiß bestätigt!! Eigentlich war diesmal ein Ultraschall zuhause geplant, aber da das Gerät verspätet war und ich nicht mehr warten konnte, sind wir spontan zum Tierarzt. Wir freuen uns riesig über das positive Ergebnis :-)
Auch ist Melodies Gewicht trotz gleicher Fütterung um 0,9 kg gestiegen und unsere hübsche bringt getzt 27,8 kg auf die Waage und der Bauchumfang beträgt 60,5 cm.

28.-35. Tag Die Fetalperiode ist durch die Ausdifferenzierung der Organe und das schnelle Wachstum der Welpen gekennzeichnet. Die Augenlider sind ausgebildet, die Ohrmuschel bedeckt den Gehörgang, die Finger separieren sich, das männliche Genital ist erkennbar und die fünf Zitzenpaare. Die Hündin nimmt an Bauchumfang zu. Die Zitzen schwellen an. Bei einigen werdenden Müttern steigt das Trinkbedürfnis.
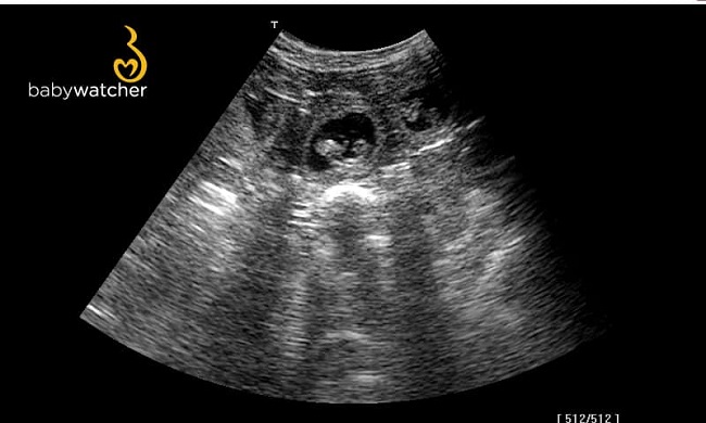
Hier noch einige Ultraschallbilder vom 22.02.2021 Es ist einiges los in Melodies Bauch und wir sind sehr gespannt was unsere Zaubermaus um den 27. März in die Wurfkiste legen wird. Jetzt heißt es erst mal unsere werdende Mama weiterhin ordentlich verwöhnen mit Streicheleinheiten, Bewegung und einigen Extraleckereien :-)

Dicht an dicht gekuschelt sitzen die J-chen gleichmäßig in den Gebärmutterhörnern verteilt.


23.02.2021 Nur das Beste und viel Abwechslung kommt in den Napf unserer Schwangeren <3

Melodies Speiseplan haben wir zum Frischfleisch mit Gemüse und Kartoffel, Nudeln oder Reis am Abend erst mal nur um eine kleine Milchmahlzeit mit Obst und Haferflocken am Vormittag erweitet. Ihr schmeckt es und doch ist sie immer auf der Suche nach etwas essbaren...

Der Bauchumfang legt weiter zu und beträgt 62 cm

Ohne Worte <3 unsere süße Maus
___________________________________________________
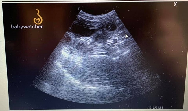
24.02.2021 Ultraschall am 32. Tag der Trächtigkeit
Ein erneuter Ultraschall zuhause, ganz entspannt zeigte zahlreiche kleine Passagiere in Melodies Bauch, dicht an dicht gekuschelt <3


__________________________________________________
35.-42. Tag Die Finger sind vollständig getrennt und gespreizt, die Krallen ausgebildet Die Tasthaare sind sichtbar. Unsere Hündin wird auf Spaziergängen vielleicht etwas träger und spielt nicht mehr gern mit anderen Hunden. Sie schützt ihre Flanken und lässt fremde Hunde nicht mehr nah an sich heran.
27.02.2021 Der 35. Tag der Trächtigkeit
Ein kleines Bäuchlein ist schon zu sehen!

02.03.2021 Der 38. Tag der Trächtigkeit
So langsam rundet sich Melodie sichtlich. Sie fühlt sich pudelwohl und genießt die vielen Streicheleinheiten besonders von den Kindern, die sich schon genau wie wir riesig auf die Welpen freuen!


42.-49. Tag Die Hündin bekommt jetzt mehrere Mahlzeiten am Tag, aber dick sollte sie dennoch nicht werden. Behalten Sie das Gewicht im Auge!
07.03.2021 Der 43. Tag der Trächtigkeit
Melodie hat sich leider beim Rennen eine Kralle abgerissen... :-( jetzt heißt es aufpassen das sich nichts entzündet und alles gut verheilt! Ansonsten geht es Melodie großartig und am liebsten würde sie noch Ballspielen...aber das ist jetzt erst mit zunehmender Leibesfülle zu gefährlich.

12.03.2021 Der 48. Tag der Trächtigkeit
Jetzt ist es nicht mehr zu übersehen, die J-chen wachsen und gedeihen prächtig. Mittlerweile bekommt Melodie 3 Mahlzeiten über den Tag verteilt. Wenn es nach ihr ginge könnte sie immer weiter essen, aber wir passen gut auf unsere "dicke" auf!

49.-56. Tag Die Bewegung der Welpen im Mutterleib ist leicht erkennbar – flache Hand vorsichtig auf den Bauch der entspannten Hündin legen. Die Körperbehaarung der Welpen ist voll ausgeprägt. Der Hündin gehen am Bauch die Haare aus. Sie sollte mit ihrer Wurfkiste vertraut gemacht werden.
14.03.2021 Der 50. Tag der Trächtigkeit
Heute haben wir die Wurfkiste im Wohnzimmer aufgebaut und Melodie hat gleich einmal probe gelegen. Die Bewegungen der Welpen sind deutlich zu spüren und zahlreiche kleine Pfoten "klopfen" an der Bauchdecke. Ein tolles Gefühl <3 Die Spaziergänge werden ruhiger aber nicht weniger, schließlich braucht sie für die Geburt eine bestmögliche Kondition.


17.03.2021 Der 53. Tag der Trächtigkeit
Der Bauch wächst und wächst, wo mag das noch enden :-D Noch etwa 10 Tage bis zur Landung unserer J-Edition! Die Vorbereitungen laufen auf Hochtouren!


56.-63. Tag Hundewelpen werden als „Nesthocker“ geboren, die Ausdifferenzierung einzelner Organe wie z.B. der Lunge ist bei der Geburt noch nicht beendet, die Augenlider und Gehörgänge sind geschlossen. Die Hündin wird ruhelos und beginnt, Nestbauverhalten zu zeigen. Sie sucht nach einem geeignetem Platz zum Werfen, gräbt Höhlen, scharrt überall herum, hechelt. Es kann sich weiße Scheidenflüssigkeit absondern. Sinkt die Körpertemperatur um ca. 1,5 – 2 Grad ab, werden die Welpen innerhalb der nächsten 6 – 24 Stunden geboren.
66. Tag Die meisten Welpen werden zwischen dem 60. Und 65. Tag geboren. Am 66. Tag sollten Sie unbedingt den Tierarzt aufsuchen, ob eine Störung vorliegt.